美莱·活力齿科简介
美莱活力齿科通过与武汉大学口腔医学院、广东省口腔医学会建立医生交流机制,汇聚了国内口腔种植名家,采用欧美八大种植技术,开创了无痛种植时代,为市民提供轻松愉悦的牙齿种植体验。



聚焦全球目光 行业泰斗齐聚
"2013全口无牙颌种植修复新技术名家论坛"权威名家加强口腔生态美学及时在国内口腔修复技术的临床技术交流,从而推进华南地区乃至国内种植牙临床技术的整体发展,将最新、微创技术应用到种植牙领域,帮助更多的缺失牙患者更好的享受"口福"。


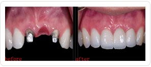
不需磨损两侧真牙,植入单颗牙植体后,
以瓷牙套恢复类似真牙。

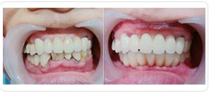
植入多颗牙植体,当做支台柱,以便连结到
真牙或其他牙植体,制作固定假牙。

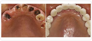
植入多颗牙植体,当作支台柱,以便牙植体固
持,来制作固定或者可活动义齿。






















































